Cost: NA
About These Ratings
Difficulty: NA Danger 0: (NA) Utility:

------------------------

Exotic Patterns Appear in Water When It Is Freezing or Melting

---------------------

by Jearl Walker
July, 1986

---------------------

IF YOU LOOK CLOSELY AT a piece of ice, you will find several puzzling features. Why is it filled with bubbles and with tubes that resemble wormholes? Why do the tubes vary in diameter, sometimes in a regular pattern? What determines the distribution of h the bubbles? When an ice cube begins to melt, why does it sputter and give off air and water? If a cube is held in bright sunlight, why do bubbles, hexagonal figures and fernlike figures develop inside it? The answers to these questions lie in an examination of how ice crystals form as water freezes.


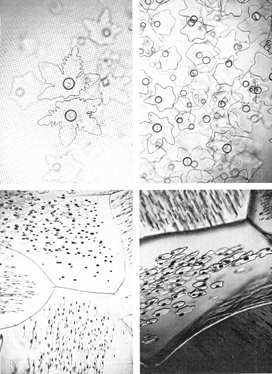
Figure 1: Tyndall figures in ice

Water freezes only after it has first cooled below the standard freezing point of zero degrees Celsius. In that state it is a supercooled liquid. The freezing process begins with a nucleating agent. In most cases the agent is a snow crystal or an impurity in the water. Molecules of water attach themselves to the agent, initiating a crystal structure. As additional water molecules join the crystal, it grows until it meets another crystal or the boundary of the container.

When the surface has frozen, the freezing process moves into the liquid. Freezing requires the removal of heat from the water to cool it to the freezing point and then to lock the atoms into the crystal structure. The heat passes through the ice layer by conduction, and then the air above the layer carries the heat off by conduction or convection.

If the water is pure (an ideal case), the temperature is lowest in the ice. At the interface between the ice and the liquid the temperature is the freezing point of water. In practical cases the water contains impurities that lower the freezing point to an extent depending on the concentration of the impurities. As water turns into ice at the freezing interface, the impurities are carried deeper by diffusion. Because diffusion operates quite slowly, the concentration of the impurities is highest somewhat below the freezing interface.

This situation is called constitutional supercooling. It is unstable enough to cause the freezing interface to move downward in projections rather than as a plane. When constitutional supercooling proceeds at a low rate, the projections are hexagonal cells of ice separated by water. At higher rates of constitutional supercooling the projections resemble fern leaves. The pattern, which is called dendritic, consists of sharply pointed leaves branching into the water in directions governed by the orientations of the ice crystals along the freezing interface. Adjacent crystals that are in different orientations produce branches extending in different directions. It is possible that none of the projections will be perpendicular to the freezing interface.


Figure 2: A gallery of possible Tyndall figures

Constitutional supercooling favors the development of projections. Imagine a small initial projection developing from some chance deposit of ice The projection has several advantages over any plane area at the interface. It extends into the region where the water is supercooled most. The increase in surface area due to the growth of the projection improves the removal of impurities and heat. Hence water begins to freeze onto the projection, extending it deeper into the liquid.

The basic geometry of an ice crystal is a hexagonal plate. The plane of the plate is called the basal plane; its perpendicular axis is called the c axis. When the crystal first forms, it grows much faster in the basal plane than it does parallel to the c axis. If the axis is vertical, the crystal grows horizontally as a plate. If the axis is horizontal, the crystal grows into either a horizontal needle or a vertical plate. The vertical plate is unstable and may rotate to the horizontal. Alternatively, it may be locked into position if it expands enough to meet adjacent crystals before it rotates.

Evidence for a series of parallel vertical plates can sometimes be seen on the top surface of ice. As the plates form in the liquid surface, they buoy upward because ice is lighter than liquid water. When the surface freezes, the tops of the plates remain as narrow parallel ridges slightly elevated above the rest of the surface.


Figure 3: The cellular advance of a freezing interface

A sample of ice is likely to contain many crystals initiated by many nucleating agents. You can distinguish the crystals with the aid of polarized light in a procedure outlined by Robert A. Laudise and Robert L. Barns of the AT&T Bell Laboratories. Build a wood stand two feet high or less with open ends and an open top [see Figure 6]. Line the bottom with white cardboard to reflect light. Put a sheet of glass on the top. Shine bright light on the cardboard through each open end.

Position a polarizing filter on the glass. Place a thin section of ice on the filter. Place on the ice another filter with its polarizing axis perpendicular to that of the lower filter. (If the filters might be harmed by the ice, sandwich them between glass slides and tape the edges.) The different crystals within the ice show up in various colors or as gray areas. The colors change if you rotate the ice about the vertical axis of the filters. A crystal with a vertical e axis (along your line of sight) remains a gray of unchanging intensity. A crystal with a e axis well off the vertical changes in intensity as it is rotated; if it is thin enough, it varies in color.

You can detect a small deviation between the e axis and your line of sight by means of a clear glass marble placed between the ice and the top filter. The marble should touch the filter but not the ice. When you look through the top filter and the marble, you will see a dark cross. It is centered on the marble if the e axis is aligned with your line of sight; with increasing misalignment the cross becomes increasingly off-center.

Thin sections of ice can be prepared by placing a chunk of ice on a flat metal plate at room temperature. The plate quickly


Figure 4: Dendritic growth of two crystals

conducts heat to the ice, which starts to melt. When the bottom of the ice is smooth, turn the piece over to smooth the other side. If you have a large chunk, try melting it in a heated frying pan.

Ice crystals are usually not perfect, because the atoms are laced with dislocations that spoil the crystal structure. The boundaries between adjacent crystals also include misfits among the atoms. To reveal the lines and boundaries on a surface of an ice cube I direct the thermal radiation from my desk lamp onto it. After a few minutes I remove the lamp and examine the ice surface. Atoms along the dislocation lines and crystal boundaries melt and evaporate more readily than atoms elsewhere on the surface, leaving narrow grooves. I avoid heating the ice so fast that the surface becomes rough and the lines are difficult to follow.

When I leave an ice cube on a poorly conducting surface, it gradually warms in the room air. When the cube i2 reaches the melting point, zero degrees C., thin tubes develop through the cube along fracture lines or boundaries between crystals. My name for these tubes is wormholes. Water and ' air bubbles move along them from the interior of the cube to the surface; there the water spews out and the air gurgles through the meltwater on the surface. You can hear the water and air leaving the wormholes, particularly if the cube is on a plate.


Figure 5: Geometry of an ice crystal

I study this activity by putting an ice cube on an observation platform similar to the one made by Laudise and Barns. A layer of glass is supported on one side by a box and on the other side by a baking dish. The glass slopes toward the dish so that melting water collects in the dish. The cube does not slide down the glass because it rests against several mounds of glue attached to the glass. Light from my lamp reflects from white paper below the glass and travels through the ice.

Within a wormhole air bubbles glisten, displaying a fairly sharp contrast with the ice. Regions of water show poor contrast. The water and air are apparently pushed along the holes by pressure within the cloudy center of the cube. As the holes expand in diameter with the melting of ice along their sides, the train of air bubbles and water moves through them more slowly.

The ice cubes I make from tap water contain many small bubbles and tubes filled with air. As


Figure 6: The observation platform made by Robert A. Laudise and Robert L. Barnes

ice advances inward from the six surfaces of a cube, air is forced out of solution and collects in the bubbles. When a bubble forms on the bottom of the cube, it usually breaks free and floats up to the top layer of ice. There the freezing interface may advance around it, leaving it nearly spherical. Instead the bubble may pick up air as the interface advances; this is how a tube forms. The tube runs approximately parallel to the direction of advance and thus generally toward the center of the cube. i2Eventually the tube ends as the interface is able to pass around it, cutting off the supply of air from the remaining liquid.

The development of a tube depends on two competing factors: the rate at which the interface advances and the rate at which dissolved air diffuses to the site of a tube and joins the air in it. The advance of the interface depends on how quickly heat is conducted through the ice from the interface to the outer surface. As the interface moves deeper into the cube, the ice through which the heat must be conducted is thicker and the conduction rate is therefore lower. Moreover, as the amount of water in the cube decreases, the diffusion of air to the bubble inside a tube may increase. The changes allow most tubes to widen toward the interior of the cube. Small twists are evident in the narrowest sections at the outer ends, presumably because the interface does not move at a uniform rate.


Figure 7: Pockets of air in an ice cube

Many tubes vary periodically in diameter. This variation probably results from variations in the advance of the interface due to the cooling cycle of the freezer. The air in my freezer varies in temperature between -6 and -14 degrees C. When the air is in the warmer phase, the conduction of heat through the ice is slow and so is the advance of the interface. The diffusion of air to the tube increases the diameter of the bubble at its mouth, thereby increasing the diameter of the tube. When the air is coldest, the conduction of heat is fast and the interface advances faster than air can diffuse to the bubble at the mouth of the tube; the tube gets narrower. The periodicity of these variations in tube diameter is complicated by many other factors, including the increasing distance in the ice through which the heat must be conducted.

Tubes that form in the ice advancing from the bottom are vertical and narrow, varying little


Figure 8: Layered cloudy regions in ice

in diameter. This uniformity is due to two factors. The conduction of heat through the bottom layer of ice is usually insensitive to variations in the air temperature in the freezer. In addition the bubbles forming at the mouth of these tubes break away when they reach a certain size, leaving all the tubes with about the same diameter.

When the freezing process reaches the center of the cube, the formation of air bubbles and the entrapment of impurities in the ice become extensive. The center is a cloudy white rather than transparent because the bubbles and impurities scatter all the light reaching the center. This region is generally thinner than it is wide because freezing progresses faster from the top surface than it does through the sides or bottom of the ice cube.

The pressure in the bubbles and the expansion of the water as it freezes often rupture the ice cube. To produce cubes almost free of bubbles and to decrease the possibility of rupture, make ice cubes from distilled water that you have boiled for at least five minutes to eliminate the dissolved air.


Figure 9: How a tube in melting ice can vary in diameter

The ice cubes at each end of my ice tray have four or five layers of cloudy regions that tilt from the horizontal toward a corner of the tray. The layers are probably due to the cooling cycle of the freezer. When the air temperature in the freezer is low, the rapid conduction of heat through the ice enables the freezing interface to move quickly into the liquid from the top and the sides touching the tray. The rapid advance traps air and impurities in a mesh before they can escape into the liquid. The warmer phase of the cooling cycle slows the advance of the ice, allows the bubbles and impurities to escape and yields clearer ice. The orientation of air bubbles near the cloudy layers reveals the advance of the ice from several directions.

If ice is illuminated with bright sunlight, it can melt internally even if its surface remains frozen. Internal melting was


Figure 10: Fernlike Tyndall figures observed by Keiji Higuchi

first reported in 1858 by John Tyndall, a British physicist who is remembered for his studies of acoustic. He reasoned that thermal radiation in the sunlight melts certain spots within the ice. Since ice decreases in volume when it melts, a small bubble of water vapor forms in the liquid. Light scattering by the bubbles makes the ice sparkle with bright points.

Tyndall found that the thin spots of internal melting can take on a variety of designs. The commonest type is oval. More rarely there are spots displaying the hexagonal symmetry of a snowflake. Other spots resemble fern leaves and are described in terms of a leaf and the twig to which it is attached. Tyndall called all the spots liquid flowers, but today they are known as Tyndall figures.

Tyndall found the figures just below the surface of a frozen pond illuminated by strong sunlight. He could readily see the largest figures, which were several millimeters long, smaller ones required a magnifying glass. Most of the figures were parallel to the surface of the pond. Tyndall suggested they favor this orientation because the freezing interface of the water and ice is always approximately horizontal.


Figure 11: Melting around bubbles frozen in ice

In 1964 Keiji Higuchi of Hokkaido University advanced a different view. He said the symmetric Tyndall figures lie in planes parallel to the basal plane of the ice crystal in which they form, whereas the fernlike Tyndall figures lie in planes perpendicular to the basal plane, that is, parallel to the c axis of the ice crystal. Hence the orientation of the figures with respect to the pond's surface depends on the orientation of the crystal when it freezes. Higuchi also reported that the leaves of the fernlike figures lie at an angle of approximately 45 degrees to the c axis. In some figures the leaves are perpendicular to the twig; in others the angle is smaller. What determines the angle is still not known.

All Tyndall figures probably develop where there are defects or impurities in the ice. The nonuniformity of such places increases the absorption of thermal radiation, bringing about melting. Nevertheless, the mechanism that gives rise to the formation of a Tyndall figure is poorly understood. Charles A. and Nancy C. Knight of the National Center for Atmospheric Research in Boulder, Colo., speculated that the warming process first yields vapor. Thereafter the ice that borders the vapor cavity melts as the Tyndall figure evolves. The fernlike figures imply that the melting process can be the reverse of the normal dendritic freezing process.

The Knights also discovered a type of Tyndall figure that lacks a vapor bubble. At sites where the ice is compressed on opposite sides of a plane along which the ice has fractured, warming causes melting that forms thin, curved lenses of water. Each lens lies approximately parallel to the basal plane of the crystal. As a lens develops, the melting interfaces move away from the fracture plane in opposite directions. The water molecules along the interfaces move somewhat toward the plane because of compression. Thus there is no net change in volume that would require a bubble to form.

The Knights grew ice crystals by freezing distilled water in a bucket. Rectangular plates measuring several centimeters on a side were then left for five minutes in air at normal room temperature so that they warmed to the melting point. Then each plate was hung in front of a 1,000-watt quartziodine lamp partially surrounded by a reflector. Thermal radiation from the lamp produced the Tyndall figures.

When an ice plate was irradiated at the maximum intensity, clouds of tiny Tyndall figures appeared throughout the bulk of the ice, spreading at a rate of about two centimeters per second. Each element in the cloud was a hexagonal pocket of water along with a vapor bubble. The pockets were not connected. Then why did they appear together? The Knights suggest they are generated mechanically as a result of the strain that accompanies melting.

Shinji Mae of the University of Nagoya in Japan studied the production of more conventional Tyndall figures at the grain boundaries in ice he grew from distilled, degassed and deionized water. To examine a specimen he allowed it to warm in room air until he saw veins of water forming along the boundaries between adjacent crystals. The ice was then at the melting point. He next focused the light from a small lamp onto an area a few millimeters wide within the ice.

Among the set of Tyndall figures produced by the lamp was one that resembled a flower with 12 petals. How a twelvefold symmetry can develop from the basic sixfold symmetry of an ice crystal is not known. Mae also observed fernlike Tyndall figures. They were similar to the figures Higuchi observed to lie in planes perpendicular to the basal plane of the ice crystals.

I studied Tyndall figures in ice cubes frozen in my freezer after I had boiled the water to reduce the amount of air dissolved in it. Before examining a cube I let it warm to the melting point in room air. At the start its surface clouded with condensation drops, but after a few minutes the surface was coated with a layer of meltwater that made the surface transparent again. By then water and air were surging through wormholes. I put the ice on my glass observation platform and examined it with a jeweler's glass.

In my first experiments I heated ice cubes with my desk lamp for a few minutes. Most of the internal melting resulted in simple ovals, but I also spotted a few fernlike figures and one bright, magnificent hexagonal figure Suspecting that the heat from the lamp was insufficient, I resorted to a 1,500-watt quartz heater and held a cube in front of it, draping a thick cloth over my hand as a heat shield. After a few minutes I inspected the ice for Tyndall figures.

I was rewarded immediately. The melting ice contained hexagonal stars and fernlike structures as well as ill-defined figures with sharp perimeters. I found the figures by first bringing a bubble into focus and then carefully adjusting the height of the lens until the associated melting region was in focus. Simultaneously I adjusted the lighting or the position of the ice cube on the glass to improve the contrast of the melting region.

The figures were quite thin. When I viewed them edge on from another angle, I found they were thin lenses of water. The interesting figures were often temporary, evolving into thin ovals. Perhaps I disrupted their growth when I moved the ice to the observation platform.

The heat source also melted ice around air bubbles already frozen in the ice. When I looked down through the top of the ice cube, I saw each bubble surrounded by an oval from melting. Often a bubble had two overlapping ovals. One oval was at the top of the bubble and the other at the bottom, as could be determined by looking at them from another angle.

More can be learned from observations of ice. I should like to hear from any reader who can discover a better explanation of the bubble and tube formations.

 

Bibliography

THE FREEZING OF SUPERCOOLED LIQUIDS. Charles A. Knight. D. Van Nostrand Company, Inc., 1967.

SUPERHEATED ICE: TRUE COMPRESSION FRACTURES AND FAST INTERNAL MELTING. Charles A. Knight and Nancy C. Knight in Science, Vol. 178, No. 4061, pages 613-614; November 10, 1972.

TYNDALL FIGURES AT GRAIN BOUNDARIES OF PURE ICE. Shinji Mae in Nature, Vol.257, No. 5525, pages 382-383; October 2,1975.

 

Suppliers and Organizations

The Society for Amateur Scientists (SAS) is a nonprofit research and educational organization dedicated to helping people enrich their lives by following their passion to take part in scientific adventures of all kinds.

The Society for Amateur Scientists
5600 Post Road, #114-341
East Greenwich, RI 02818
Phone: 1-401-823-7800

Internet: http://www.sas.org/